Welcome to the Latest Missing Teeth Treatment Options
Implants should not only replace teeth, but look natural whilst reinstating dental functionality
Dr Yusuf
Alshafi
GDC: 115761
Dr Yusuf Alshafi has a wealth of experience and expertise in implant dentistry. His passion and special interest in dental implants began soon after graduating from Guy’s, King’s and St Thomas’ Dental Institute in 2007 and continued with the completion of an MSc in Dental Implants in 2018. He was appointed Senior House Officer at Guy’s Hospital in Oral Surgery and Restorative Dentistry and subsequently completed the examinations for Membership of the Faculty of Dental Surgeons at the Royal College of Surgeons of Edinburgh.
Over the years, Dr Alshafi has undertaken extensive postgraduate training in implant dentistry across the UK, Europe and the United States. This breadth of training allows him to provide the full spectrum of contemporary implant treatments — from single-tooth replacement to complex full-arch and full-mouth rehabilitation — using the latest evidence-based techniques.
Dr Alshafi is actively involved in education and the advancement of the profession. He teaches on postgraduate implant and surgical courses, mentors dentists entering implant practice, and has contributed to professional publications and clinical literature within the field of implant dentistry.
In addition to implant work, he provides complex oral surgery procedures including the removal of impacted wisdom teeth and cosmetic periodontal (gum) surgery.
Outside of dentistry, Yusuf enjoys experiencing different cultures through travel, keeps fit by regularly attending the gym, and is a keen skier.
Dr Yusuf Alshafi
GDC: 115761
Dr Yusuf Alshafi
GDC: 115761
Dr Yusuf has a wealth of implant knowledge and experience.
- 2007 qualified from Guy’s, King’s and St Thomas’ Dental Institute, London
- 2018 MSc in Implants in 2018
- Senior House Officer at Guy’s Hospital in Oral Surgery and Restorative Dentistry
- Member of the Faculty of Dental Surgeons, at the Royal College of Surgeons, Edinburgh
- Has placed over 800 dental implants
Over the years, Yusuf has completed numerous postgraduate courses in implant dentistry in the UK, US and Europe. As a result, he has a wealth of experience in the most advanced dental implant treatments and the latest techniques.
In addition to this, he provides complex oral surgery procedures including the removal of impacted wisdom teeth; and cosmetic gum plastic surgery.
In his spare time, Yusuf enjoys experiencing different cultures by travelling across the world. He tries to keep fit by regularly attending the gym, and is a keen skier.
Dr Yusuf Alshafi
GDC: 115761
Dr Yusuf Alshafi
GDC: 115761
Dr Yusuf has a wealth of implant knowledge and experience.
- 2007 qualified from Guy’s, King’s and St Thomas’ Dental Institute, London
- 2018 MSc in Implants in 2018
- Senior House Officer at Guy’s Hospital in Oral Surgery and Restorative Dentistry
- Member of the Faculty of Dental Surgeons, at the Royal College of Surgeons, Edinburgh
- Has placed over 800 dental implants
Over the years, Yusuf has completed numerous postgraduate courses in implant dentistry in the UK, US and Europe. As a result, he has a wealth of experience in the most advanced dental implant treatments and the latest techniques.
In addition to this, he provides complex oral surgery procedures including the removal of impacted wisdom teeth; and cosmetic gum plastic surgery.
In his spare time, Yusuf enjoys experiencing different cultures by travelling across the world. He tries to keep fit by regularly attending the gym, and is a keen skier.
Upper Front Tooth Implant
This patient had broken their upper front tooth and the exisitng dental crown had fallen off. The underlying root was unfortunatley irreparable.
The dental root was subsequently removed and an implant placed at the same time. The implant had a temporary crown placedon the same day.
The ‘After’ photos shows the final crown that was made after 3 months. The implant crown was made to match the form and colour of the exisiting teeth to give an overall natural aesthetic finish.
See Some Our Services and Cases Below
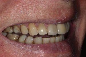
Upper Front Teeth Implant
Both central incisors were broken, leaving just the roots.
Unfortunately, there wasn’t enough length left to repair these teeth and they were subsequently removed.
Dental implants were placed to restore the missing teeth.
Upper Front Teeth Implant
Speak to us Dr Yusuf
Same Day All on 4 Dental Implants Treatment
This patient had missing teeth and the those that remained were failing. After discussing with the patient, it was decided to remove the failing teeth and rehabilitate with same day all on 4 dental implants.
This treatment is usually carried out in 1 day (after a few preparatory appointments for moulds, x-rays, etc). The failing teeth were removed and implants place on the same day, with a temporary bridge (fixed teeth) attached also on the same day. Following a period of 3 to 6 months, moulds were taken and the definitive bridge placed
Same Day All on 4 Dental Implants Treatment
Same Day All on 4 Dental Implants Treatment
This patient had missing teeth and the those that remained were failing. After discussing with the patient, it was decided to remove the failing teeth and rehabilitate with same day all on 4 dental implants.
This treatment is usually carried out in 1 day (after a few preparatory appointments for moulds, x-rays, etc). The failing teeth were removed and implants place on the same day, with a temporary bridge (fixed teeth) attached also on the same day. Following a period of 3 to 6 months, moulds were taken and the definitive bridge placed
Full Mouth Rehabilitation
Full mouth Treatment – missing upper front teeth and mispositioned implants in the Lower left side meant planning was key here to get the desired result. Implants were placed to replace the missing teeth, veneers/crowns on the remaining upper teeth allowing an improvement in overall shape and colour, and the implant crowns on the lower left were change to bring into the line of the bite.
Full Mouth Rehabilitation
Bone Grafting
The implant needs to be surrounding by a good volume of stable bone. Where there isn’t enough bone, bone grafting would need to be considered.
This is a common problem in certain areas of the mouth, and especially if the teeth have been removed some time ago.
There are typically 4 types of bone grafting materials:
- Patient’s own bone
- Donated human bone
- Animal bone
- Synthetic bone substitute
Sinus Grafting
This procedure, is required when there is insufficient bone in the back of the upper jaw to successfully place dental implants. There are 2 ways to carry out the procedure:
1. Crestal Approach: When there is some bone height present but not enough to house the entire implant length, rotary or manual instruments are used to push the sinus floor and membrane up followed by placement of grafting material and implant at the same time.
2. Lateral Window Sinus Grafts: When there is a very significant vertical bone height deficiency, a precise window is prepared in the sinus bone wall to place bone graft in the sinus. During your consultation we will explain whether you require a sinus lift.
Digitally Guided Implant Surgery
CT scans have been used in the planning stages of dental implants for many years.
This highly accurate image allows us to more accurately diagnose a problem, identify the exact position of vital structures and to assess the amount of bone available for a dental implant.
MEET YOUR IMPLANT SURGEON
Dr Yusuf Alshafi
GDC: 115761
Dr Yusuf has a wealth of implant knowledge and experience.
- 2007 qualified from Guy’s, King’s and St Thomas’ Dental Institute, London
- 2018 MSc in Implants in 2018
- Senior House Officer at Guy’s Hospital in Oral Surgery and Restorative Dentistry
- Member of the Faculty of Dental Surgeons, at the Royal College of Surgeons, Edinburgh
- Has placed over 800 dental implants
Over the years, Yusuf has completed numerous postgraduate courses in implant dentistry in the UK, US and Europe. As a result, he has a wealth of experience in the most advanced dental implant treatments and the latest techniques.
In addition to this, he provides complex oral surgery procedures including the removal of impacted wisdom teeth; and cosmetic gum plastic surgery.
In his spare time, Yusuf enjoys experiencing different cultures by travelling across the world. He tries to keep fit by regularly attending the gym, and is a keen skier.
Educational Videos
Our dental implant videos have been especially prepared by us and includes dental implant options, implant procedures and importance of ongoing dental hygiene.
Educational VIDEOS
Our dental implant videos have been especially prepared by us and includes dental implant options, implant procedures and importance of ongoing dental hygiene.
TESTIMONIALS








