dental implant GALLERY
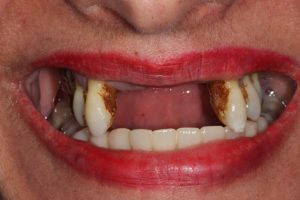
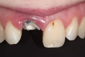
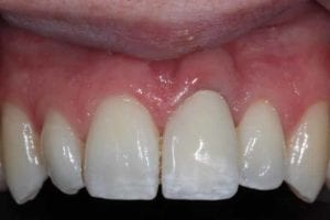
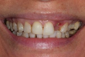
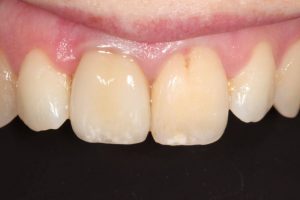
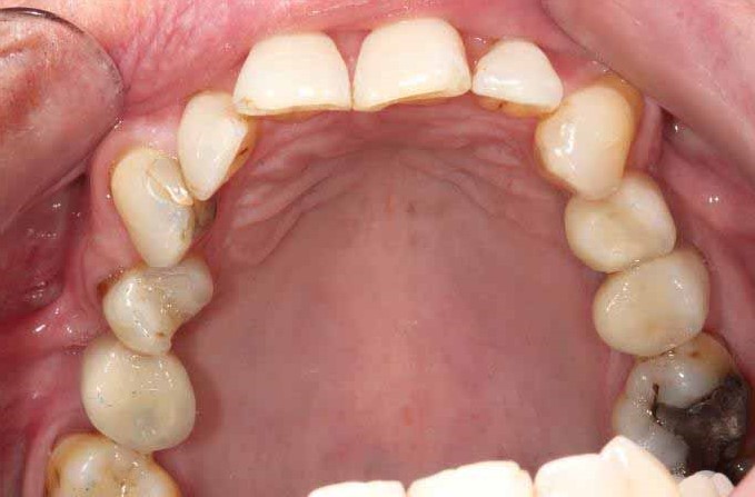
Broken Upper Front Tooth
Broken Upper Front Tooth
The upper right central incisor tooth broke and was irreparable. Following removal of this tooth, and implant was placed on the same day as well as a temporary crown. This gave the patient a replacement tooth immediately and after 3 months of healing, a more definitive crown was made to match closely the adjacent tooth.
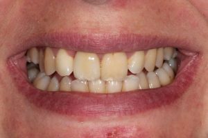
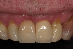
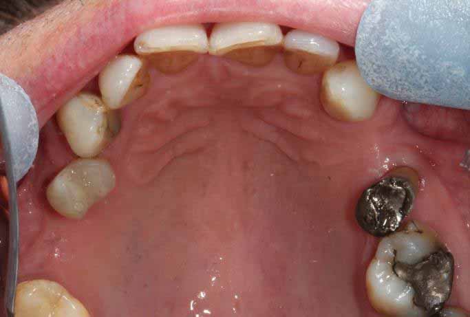
Upper Front Tooth Implant
This patient had broken their upper front tooth and the exisitng dental crown had fallen off. The underlying root was unfortunatley irreparable.
The dental root was subsequently removed and an implant placed at the same time. The implant had a temporary crown placedon the same day.
The ‘After’ photos shows the final crown that was made after 3 months. The implant crown was made to match the form and colour of the exisiting teeth to give an overall natural aesthetic finish.
Upper Front Tooth Implant
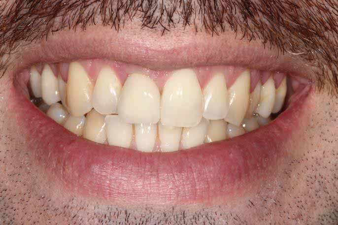
Full Mouth Rehabilitation
Full Mouth Rehabilitation
Full mouth Treatment – missing upper front teeth and mispositioned implants in the Lower left side meant planning was key here to get the desired result. Implants were placed to replace the missing teeth, veneers/crowns on the remaining upper teeth allowing an improvement in overall shape and colour, and the implant crowns on the lower left were change to bring into the line of the bite.
Same Day All on 4 Dental Implants Treatment
This patient had missing teeth and the those that remained were failing. After discussing with the patient, it was decided to remove the failing teeth and rehabilitate with same day all on 4 dental implants.
This treatment is usually carried out in 1 day (after a few preparatory appointments for moulds, x-rays, etc). The failing teeth were removed and implants place on the same day, with a temporary bridge (fixed teeth) attached also on the same day. Following a period of 3 to 6 months, moulds were taken and the definitive bridge placed
Same Day All on 4 Dental Implants Treatment
Full Mouth Rehabilitation
Trauma to Upper Front Teeth
Both central incisors were broken, leaving just the roots. Unfortunately, there wasn’t enough tooth to repair these teeth and they were subsequently removed. Dental implants were placed to restore the missing teeth.
Trauma to Upper Front Teeth
Upper Front Tooth Implant
Upper Front Tooth Implant
Both upper front teeth were in a bad way, the upper left one had to be removed as was beyond repair, this was replaced with an implant and a temporary crown on the same day; the upper right front tooth was repaired with a crown. Photos show the result with the definitive crowns after 3 months of treatment.
Upper incisor Replacement with Partial Extraction
The upper left lateral incisor was broken and beyond repair, in order to prevent shrinkage of the gum (which can sometimes happen after tooth removal). A small part of the root was left in by undertaking a partial extraction (Socket shield), placing a dental implant and then a crown to fill the gap. This innovative treatment maintains a small piece of the root next to the dental implant (under the gum) so that the gum doesn’t shrink back and a long crown would have to be made to fill the space. This was especially important here as the patient’s gum line is visible when she smiles.
Upper incisor Replacement with Partial Extraction
Upper Anterior Implants with Orthodontic Treatment
Upper Anterior Implants with Orthodontic Treatment
This patient was born with missing teeth and as a result the teeth that were present moved into these spaces. We started with orthodontic treatment (braces – undertaken by Dr Zaid Esmail) to move the teeth into the correct position and create the space needed for the dental implants. The implants were then placed towards the end of the braces treatment and the crowns fitted once the teeth were fully aligned.
Implant and Crowns
An old bridge had been in place for many years, but the shrinkage of the gums lead to the metal substructure becoming visible. The teeth either side of the missing upper right central incisor were restored with crowns, and the missing tooth was replaced with a dental implant. Not only did this improve the aesthetics, but now these teeth are no longer linked together. This means in the futures, if there are any problems with any of these teeth, they can be managed without disturbing the other teeth.
Implant and Crowns
Replacement of Missing Front Teeth
Replacement of Missing Front Teeth
This patient teeth were lost as a result of trauma some years back, he had a bridge that attached to the adjacent teeth which also failed and now he decided to have dental implants. 3 teeth were replaced onto 2 implants. .
Trauma to Upper Front Teeth
The front 2 incisor teeth were completely knocked out as a result of accidental trauma. The adjacent lateral incisors were also very long, and a decision was taken to improve these teeth as well. The front teeth were replaced with dental implants and the lateral incisors were veneered to improve the overall aesthetics.
Trauma to Upper Front Teeth
Full Mouth Rehabilitation
Full mouth Treatment – missing upper front teeth and mispositioned implants in the Lower left side meant planning was key here to get the desired result. Implants were placed to replace the missing teeth, veneers/crowns on the remaining upper teeth allowing an improvement in overall shape and colour, and the implant crowns on the lower left were change to bring into the line of the bite.
Full Mouth Rehabilitation
Implant Retained Dentures
Dental implants were used here to help this gentleman who had lost all of his teeth over the years. The implants are helping to support and stabilise his dentures, which have made them more tolerable and he now finds it easier to eat.
Single Dental Implant - Failing Bridge Replacement
The failing upper left central incisor bridge was replaced with a dental implant, and the upper right central incisor veneered to help repair the worn surface and improve the overall aesthetics
Single Dental Implant
The missing upper left central incisor was replaced with a dental implant and a new crown was made on the upper right incisor.
Multiple Pre-molar Implants and Crown
Two implants and a crown were placed to restore this patient’s eating ability. Sinus Lift procedures were undertaken on both sides to increase the bone height for the implants to be placed.
Partial Extraction Therapy
The upper left central and lateral incisors were no longer saveable, the patient also wanted to improve her smile. ‘Partial Extraction Therapy’ was undertaken to maintain small parts of the roots to prevent any loss of gum height/position. Along with a bridge and crown treatment, her smile was dramatically improved. Watch ‘Partial Extraction Therapy’.
Right Premolar Dental Implant
This patient felt her missing upper right premolar tooth was not noticeable, as she only looks at herself straight-on in the mirror. These side photos show the significant improvement following a dental implant to replace the missing tooth.
Single Dental Implant After Trauma
The upper right central incisor was lost following trauma; a dental implant was placed to replace this missing tooth.
Multiple Premolar Implants
These side photos show the replacement of the missing premolar teeth with dental implants.
Smile-line Restoration
Both upper central incisors were lost and replaced with dental implants to restore the natural appearance of the smile.
Single Dental Implant - Front Tooth
The failing upper left central incisor was removed and subsequently replaced with a dental implant.
